طب الأسنان العام
- أقسامنا الطبية
- /
- طب الأسنان العام
نبذه عن القسم
يُعنى طب الأسنان العام بالحفاظ على صحة الفم والأسنان والوقاية من المشاكل قبل تفاقمها.
تعرف عن اقسامنا اكثر
طب الأسنان العام
يقدّم قسم الأسنان في عيادات الأقصى رعاية متكاملة لصحة الفم والأسنان، تجمع بين العلاج الطبي، التجميل، والتقنيات الحديثة، بهدف الحفاظ على صحة الأسنان وتحسين الابتسامة، ضمن بيئة طبية آمنة وبإشراف أطباء أسنان مختصين.
نحرص في قسم الأسنان على التشخيص الدقيق، ووضع خطة علاجية مناسبة لكل حالة، مع الاهتمام براحة المريض وجودة النتائج.
طب الأسنان العام
يُعنى طب الأسنان العام بالحفاظ على صحة الفم والأسنان والوقاية من المشاكل قبل تفاقمها.
الخدمات المقدّمة:
- تبييض الأسنان
- الحشوات التجميلية
- الفينير
- ابتسامة هوليود
زراعة الأسنان
تُعد زراعة الأسنان حلًا فعّالًا لتعويض الأسنان المفقودة واستعادة وظيفة الفم والمظهر الطبيعي للأسنان.
الخدمات المقدّمة:
- تعويض الأسنان المفقودة
- زراعة الأسنان الثابتة
- استعادة القدرة على المضغ
- تحسين الشكل العام للفك والابتسامة
- خطط علاجية مخصّصة حسب الحالة
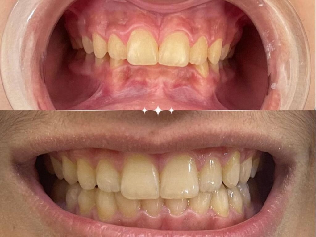
- تقويم الأسنان
يهدف تقويم الأسنان إلى تصحيح اصطفاف الأسنان وتحسين وظيفة الفكين والمظهر العام.
الخدمات المقدّمة:
- تقويم الأسنان المعدني
- تقويم الأسنان الشفاف
- علاج تزاحم الأسنان
- تصحيح مشاكل الإطباق
- متابعة دورية لحالات التقويم
نلتزم في عيادات الأقصى بـ:
- تشخيص دقيق وخطط علاج واضحة
- استخدام مواد وتقنيات معتمدة
- الاهتمام براحة المريض
- تحقيق نتائج صحية وتجميلية تدوم
زراعة أسنان
تقويم أسنان
تجميل أسنان (معالجات وابتسامة)
Frequently Asked Questions
You can book an appointment online through our website or by calling our reception desk. Walk-ins are also accepted depending on availability.
Yes, we offer secure and convenient online video consultations for selected medical services.
We offer a wide range of services including general check-ups, diagnostics, specialist consultations, lab tests, emergency care, and preventive health programs.
Yes, we offer secure and convenient online video consultations for selected medical services.
We offer a wide range of services including general check-ups, diagnostics, specialist consultations, lab tests, emergency care, and preventive health programs.